Ιατρείο: Β.Σοφίας 111, 11521.Αθήνα,
Τηλ.: 210 6465359
English
Για τους άνδρες με μικρούς, εντοπισμένους όγκους του προστάτη, η εστιακή θεραπεία προσφέρεται ως μια εναλλακτική θεραπεία .Αφορά σε μία ομάδα προσεκτικά επιλεγμένων ανδρών με καρκίνο του προστάτη ,αυτούς που αναφέρουμε ότι πάσχουν απο ελάχιστη έκταση της νόσου. Ο στόχος της εστιακής θεραπείας είναι να καταστρέψει επιτυχώς τις καρκινικές εστίες , ελαχιστοποιώντας τις παρενέργειες. Η εστιακή θεραπεία είναι ένας γενικός όρος για μια ποικιλία μη επεμβατικών τεχνικών για την καταστροφή των μικρών όγκων στο εσωτερικό του προστάτη ενώ αφήνει τις υπόλοιπες περιοχές του αδένα ανέπαφες ,διασώζοντας τον φυσιολογικό ιστό του προστάτη. Σε κατάλληλες περιπτώσεις, η εστιακή θεραπεία μπορεί να προσφέρει πολλά πλεονεκτήματα για τους άνδρες με πρώιμο καρκίνο του προστάτη:

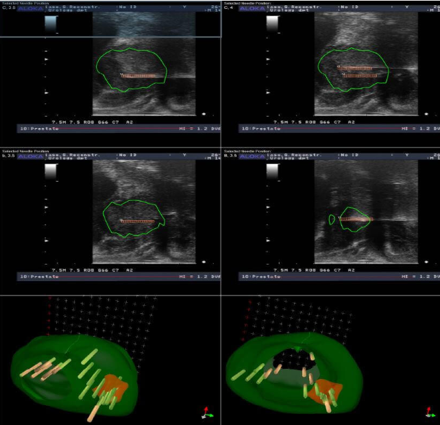
Εγώ με την ομάδα μου ακολουθούμε απο το 2016-που για πρώτη φορά στην Ελλάδα ξεκινήσαμε αυτού του τύπου την θεραπεία και κάθε χρόνο παρουσίαζουμε στα διεθνή συνέδρια τα παοτελέσματα μας ,έχοντας πλέον μία αξιοπρόσεκτη εμπειρία-ένα σύνολο αυστηρών προτύπων στούς άνδρες που πρόκειται να λάβουν εστιακή θεραπεία. Αυτό περιλαμβάνει μια ενδελεχή αξιολόγηση δια μέσω πολυπαραμετρικής μαγνητικής τομογραφίας προστάτη και υβριδικών διαπερινεϊκών βιοψιών , το βαθμό κακοήθειας Gleason απο τις βιοψίες ,το PSA,την ηλικία ,τις συνοδές παθήσεις κ.α. για να επιβεβαιωθεί ότι ο όγκος είναι μικρός και εντοπισμένος και ότι μια πιο εκτεταμένη θεραπεία δεν είναι απαραίτητη όπως είναι π.χ. η χειρουργική ή η ακτινοθεραπεία ..png)
Τα είδη εστιακής θεραπείας που προσφέρουμε στους ασθενείς μας -και μόνο εφ’όσον πληρούν τα κριτήρια ένταξης στη κλινική μας μελέτη- είναι:
Μετά το πέρας της εστιακής θεραπείας, η ομάδα των ιατρών μας θα παρακολουθεί στενά και προσεκτικά την πρόοδό της πάθηση σας. Εκτός από εξέταση του ειδικού προστατικού (PSA) και τη κλινική εξέταση, μπορεί να συστήσει περαιτέρω μελέτες με μαγνητική τομογραφία και υπέρηχους για να αξιολογήσει τα αποτελέσματα της θεραπείας σας ενώ μπορεί να χρειασθεί να υποβληθείτε σε αξιόλογηση με τη καινούργια μέθοδο των υβριδικών βιοψιών του προστάτη .

Οι μελέτες αυτές μπορούν επίσης να χρησιμεύσουν ως οδηγός για βιοψία παρακολούθησης. Αν οι εξετάσεις παρακολούθησης δείχνουν ότι ο καρκίνος παρουσιάζει υποτροπή, τότε μπορούμε να σας προσφέρουμε πολλές άλλες επιλογές θεραπείας ελάχιστης επεμβατικότητας όπως η λαπαροσκοπική ριζική προστατεκτομή , η ρομποτική ριζική προστατεκτομή αλλά και η η χαμηλής δόσης ακτινοθεραπεία.